Traumatoloģijas un ortopēdijas slimnīcas (TOS) Mugurkaula un locītavu ķirurģijas centra ķirurgi ir veikuši maksimāli saudzīgu (mazinvazīvu) un efektīvu ķirurģisku ārstēšanu pacientam ar vairākiem mugurkaula lūzumiem vienlaicīgi, informē TOS. Šāda apjoma kombinētās traumas operācija mazinvazīvi Latvijā notika pirmo reizi un ir ievērojami saudzīgāka pacientam, kā arī samazina agrīno atveseļošanās laiku no 3 mēnešiem uz pāris nedēļām.
38 gadus vecs pacients, krītot no motorollera, guva kombinētu un komplicētu mugurkaula 6. krūšu skriemeļa nestabilu lūzumu un 2. kakla skriemeļa lūzumus vienlaicīgi. Sākotnēji pacients ārstējies kādā 4.līmeņa slimnīcā, kur bija gulošs.
Pēc vispārējā veselības stāvokļa uzlabošanās pacients tika pārvests uz specializētu mugurkaula ķirurģijas stacionāru TOS.
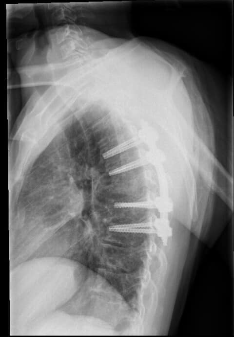
Pacientam tika veiktas mazinvazīvas mugurkaula operācijas:
1. Mugurkaula krūšu daļas lūzuma stabilizācija perkutāni mazinvazīvi t.i. stabilizējošās skrūves un stieņi tika implantēti caur atsevišķiem maziem griezieniem, nevis plaši atverot brūci. 2. Mugurkaula otrā kakla skriemeļa stabilizācija ar speciālu pielāgotu kompresijas skrūvi.
Mazinvazīvā metode, kad operācija pacientam tiek veikta caur vairākiem nelieliem griezieniem, TOS tiek praktizēta jau daudzus gadus, tomēr šāda veida operācija, kad vienam pacientam tiek vienlaicīgi maztraumatiski izoperēts un nofiksēts gan mugurkaula kakla daļas skriemeļa lūzums, gan mugurkaula krūšu daļas nestabils lūzums, ir notikusi Latvijā pirmo reizi, stāsta TOS.
Operāciju veica TOS mugurkaula ķirurgi dr.A.Repņikovs un dr.K.Briuks.
Pēcoperācijas periodā pacients jutās labi un nedēļas laikā jau atkal varēja brīvi pārvietoties bez atbalsta ierīču palīdzības. Izmantojot klasiskās ārstēšanas metodes, ārstēšana un atveseļošanās šādā gadījumā būtu vismaz 6 mēnešu garumā.
Mazinvazīvas un mūsdienīgas mugurkaula ķirurģijas ārstēšanas metodes, kad lūzumi tiek stabilizēti caur maziem griezieniem nevis plaši atverot brūces, ievērojami paātrina pacienta izveseļošanos un padara ārstēšanos daudz komfortablāku (vieglāk panesamu) un ātrāku atgriešanos normālā dzīves ritmā.
Šādas maztraumatiskas mugurkaula ārstēšanas metodes arvien biežāk tiek lietotas TOS, nu jau nevis kā retas unikālas operācijas, bet ikdienas prakse, stāsta slimnīcā.
Kā norāda speciālisti, agrāk vienīgā ārstēšanas metode pirmo divu kakla skriemeļu lūzumu ārstēšanā bija cietā apkakle vai ārējās fiksācijas aparāts, kurš pacientiem bija neērts un bieži vien nenodrošināja pilnīgu lūzuma sadzīšanu. Pašreiz liela daļa pirmo divu kakla skriemeļu lūzumu ārstēšana TOS efektīvi tiek aizstāta ar ķirurģiskām stabilizācijām, pēc kurām saaugšanas procents un pacienta dzīves kvalitāte ārstēšanās periodā ir daudz augstākas.


Foto: Traumatoloģijas un ortopēdijas slimnīca.